IPS e.Max

 

Designed with simplicity and versatility in mind. IPS e.max is an exceptional metal free material for aesthetics and durability, offering high strength materials for both full contour press technique and as a pressed sub structure material for the layering of e.max porcelain.

 

This innovative lithium disilicate ceramic fulfils the highest aesthetic demands and unites state-of-the-art technology with exceptional user friendliness.

 

Providing outstanding aesthetics, high strength and predictable shade matching even with combination cases.

 

R-Tech Dental Ceramics Ltd have been producing the highest quality aesthetic restorations using the most productive fabrication methods with the industry’s most innovative materials for many years.

 

We have invested in pressable technology and have a wealth of experience in using this particular material to ensure that your patients receive the best in all ceramic restorations.

 

With IPS e.max you only need to write one prescription and be confident that you are getting the strength and aesthetics you demand. Select a specific IPS e.max material or simply ask us for IPS e.max. Together we can provide your patient with an IPS e.max smile.

IPS e.max Press are lithium disilicate glass-ceramic ingots for the press technique.

 

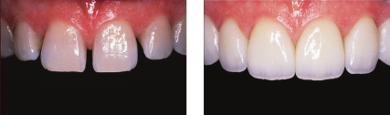
The innovative IPS e.max Press lithium disilicate glass-ceramic (LS2) offers excellent fit, form and function combined with high strengths of 400 MPa. The material is supplied in various levels of translucency. The resulting restorations exhibit lifelike aesthetics which can be independent of the shade of the preparations.

 

IPS e.max Press is used to produce single-tooth restorations, bridges for the anterior and premolar region. Minimally invasive inlays/onlays and thin veneers.

 

A wide selection of ingots are offered from which we can choose the suitable and preferred processing technique (ie. staining, cut-back or layering technique). These restorations are characterized or veneered with matching staining materials or layering ceramic from the IPS e.max Ceram assortment. The press material for the fabrication of full-contour restorations is available in 16 A-D and four Bleach BL shades. The materials for the layering technique are supplied in group shades.

Ingot Selection at R-Tech Dental Ceramics Ltd

 

HT ingots
The high translucency ingots (HT) are suitable for the fabrication of minimally invasive  full-contour restorations, such as inlays, onlays and veneers. The restorations are characterized with staining and glazing materials.

 

LT ingots
Full-contour partial crowns and crowns fabricated with the low translucency ingots (LT). In the  anterior region in particular, the aesthetics appearance of the restorations is maximised by employing the cut-back technique.

 

MO ingots
The medium opacity ingots (MO) are used to fabricate substructures for vital or slightly discoloured teeth. They create an ideal basis for lifelike restorations completed with the layering technique.


The use of the Ivoclar Vivadent Pressing furnaces are an essential part of the pressing process. This facilitates highly accurate controlled pressing of the chosen IPS e.max ingots into the moulds formed using the lost wax technique.
 
Wax patterns are produced either by hand or designed and manufactured using our in house digital scanner, Exocad design software coupled with the Zenotec Milling system. The wax patterns are milled from a highly stable wax disc which has been specially developed to provide detail and dimensional accuracy.

a) Separating the sprues using

a separating disk

b) Examining the fit of the restoration on the model

c) Apply the Glaze evenly on the surface.

d) Completed restoration after the Stain and Glaze firing

More intensive shades are achieved by several staining procedures and repeated firing,

not by applying thicker layers. The cusps and fissures can be individualized using Essences.

The e.max layering technique utilises the IPS e.max ceram selection. Again these shades are organised into 16 A-D shades and also include the 4 BL-Bleaching shades. The e.max ceram is used to veneer the e.max lithium disilicate substructure material to obtain a true to life aesthetic restoration.
 
 
 
 
 
 
 
 
 
In order to facilitate the reproduction of the desired tooth shade, the shade of the preparation is determined with the help of the IPS Natural Die Material shade guide.
The VITA classical A1 – D4 shade guide serves to accurately determine tooth shade. The arrangement of the shades in the VITA classical family of shades is as follows:
 
A1 - A4 (reddish-brownish)
B1 - B4 (reddish-yellowish)
C1 - C4 (greyish shades)
D2 - D4 (reddish-grey)
 
 
 
 
These four new BL Bleach Shades, BL1-BL4, are brighter and even more natural looking than their forerunners. They can be used for cases in which a brighter shade effect is desired, such as patients' requests for younger looking restorations or to match existing adjacent bleached teeth or patients with particularly light tooth shades.

Variolink Estheic

Aesthetic Resin Cement

Aesthetic Light Curing Composite

  • With Ivocerin technology
  • Concise shade system
  • Colour stability
  • Amine free composition
  • For ultimate aesthetic results

Multilink Automix

Universal Adhesive Cement

Dual Cure Adhesive Universal Resin Cement

  • High immediate bond strengths
  • Self-etch primer
  • Dual-cure cement
  • Automix delivery
  • Universal application
  • New 'Quarter Technique'     curing procedure

Speed CEM

Self-Adhesive Universal Conventional Cement

Light Curing Adhesive Luting Cement

  • No phosphoric acid etching
  • No primer, bonding agents or adhesives for enamel and dentin
  • Dual-curing
  • High strength
  • High bonding values
  • High translucency
Print | Sitemap
© R-Tech Dental Ceramics Ltd