Expand/collapse navigation
Home
About us
DAMAS
Services
Crown & Bridge
e.Max
Zirconia
Composite
Inline
Orthodontics
Dental Surgery Resources
Downloads
Prep Guide
e.Max Prep Guide
Monolithic Zirconia Prep Guide
Mutilayer Zirconia Prep Guide
Super Translucent Prep Guide
Porcelain Bonded Prep Guide
Composite Prep Guide
Standards
Gallery
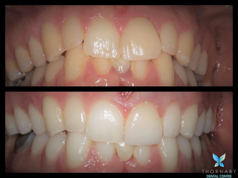
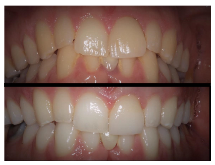
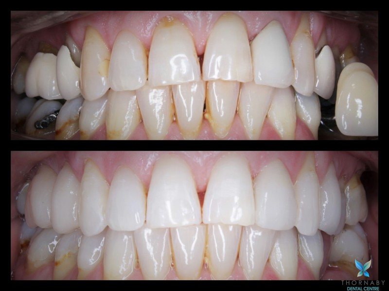
Before & After
Case Gallery
Contact
Privacy Notice
Terms and Conditions
Home
About us
Services
Dental Surgery Resources
Gallery
Contact
Terms and Conditions
Before & After
Case Gallery