Case Photo Gallery

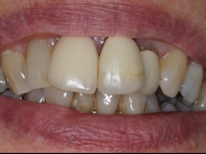
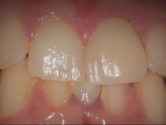
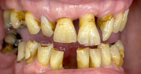
BEFORE

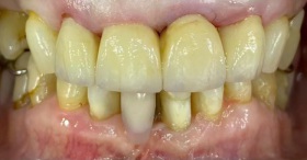
AFTER

All clinical work carried out by Dr. Pauline McCarthy. Photgraphs reproduced with kind permission from Dr. Pauline McCarthy.

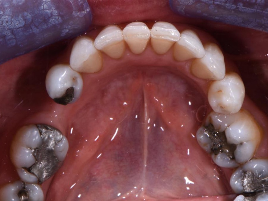
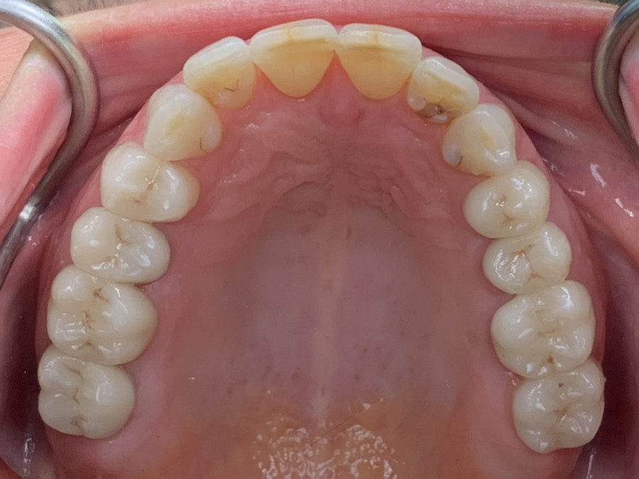
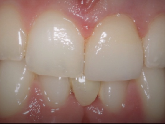
BEFORE

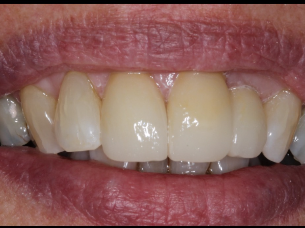
AFTER

All clinical work carried out by Dr. K Tay at Elliott McCarthy Dental Care, Hartlepool. Photgraphs reproduced with kind permission from Elliott McCarthy Dental Care. 

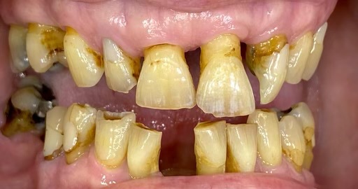
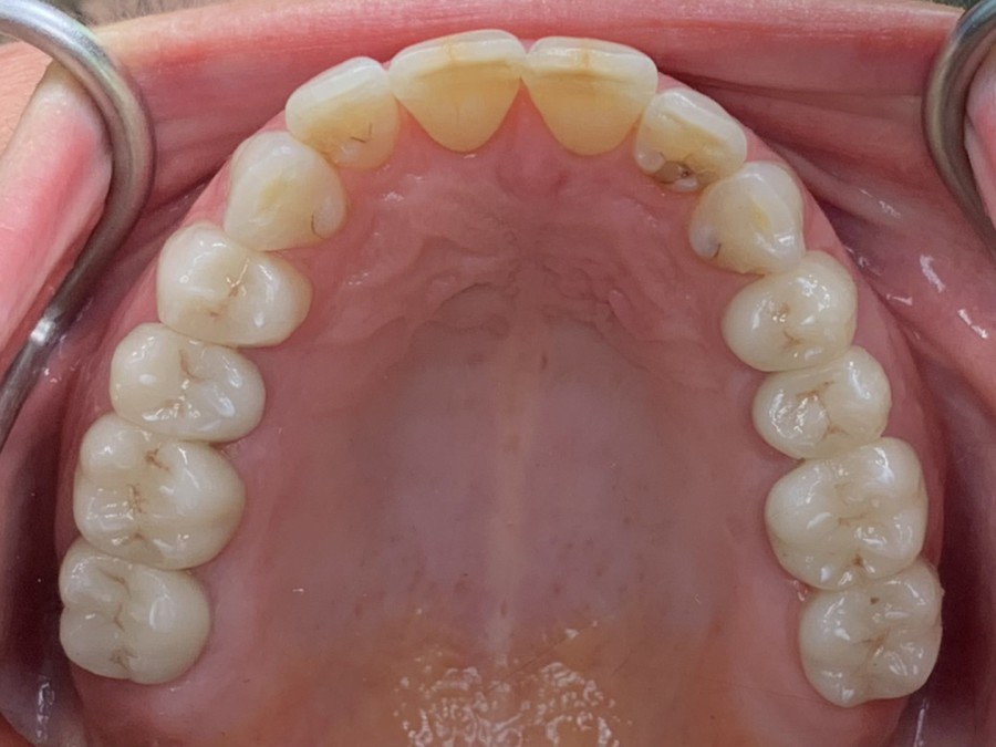
BEFORE

AFTER

All clinical work carried out by Dr. Pauline McCarthy. Photgraphs reproduced with kind permission from Dr. Pauline McCarthy. 

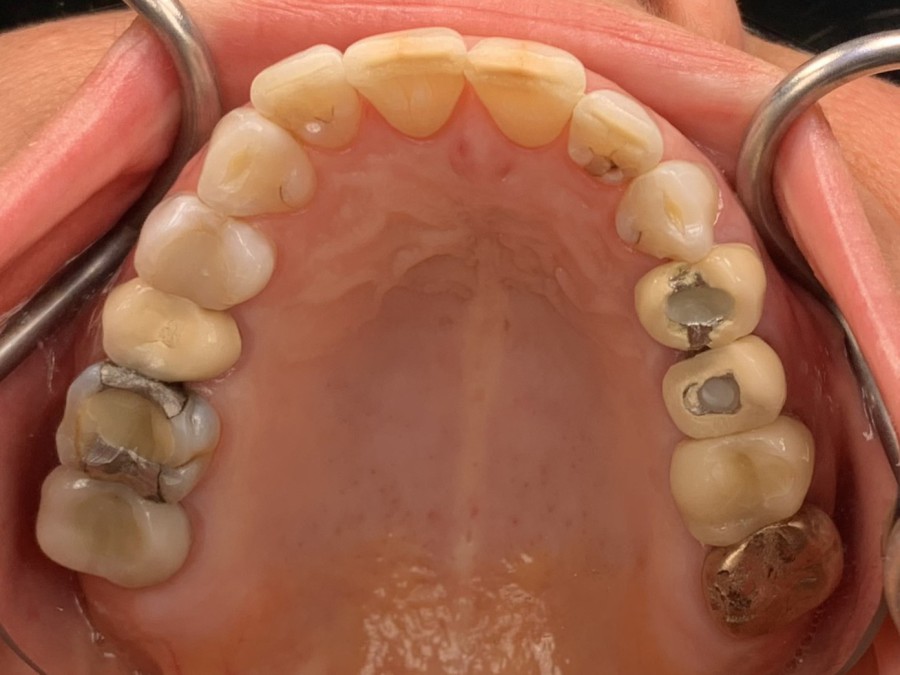
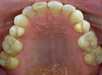
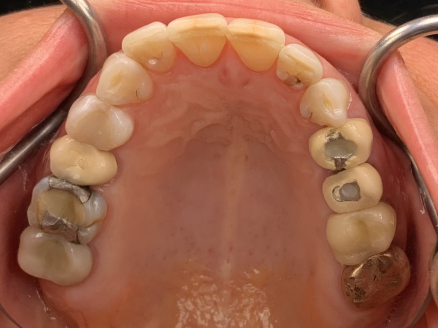
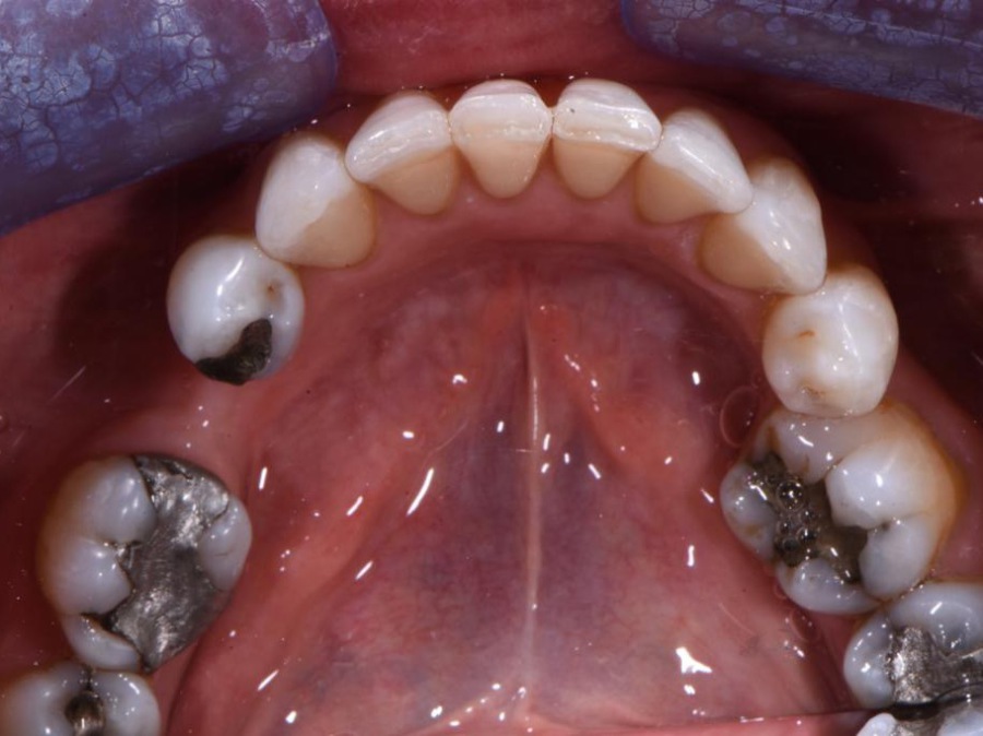
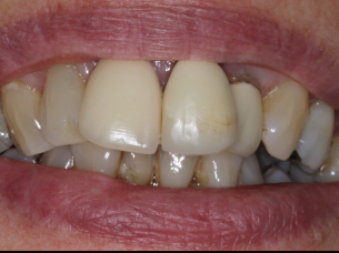
BEFORE

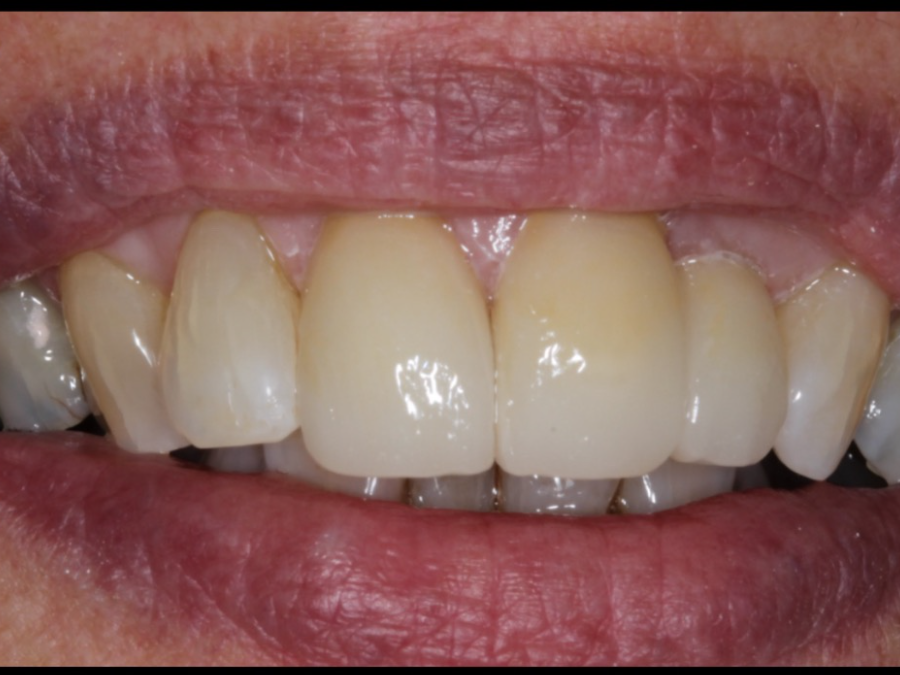
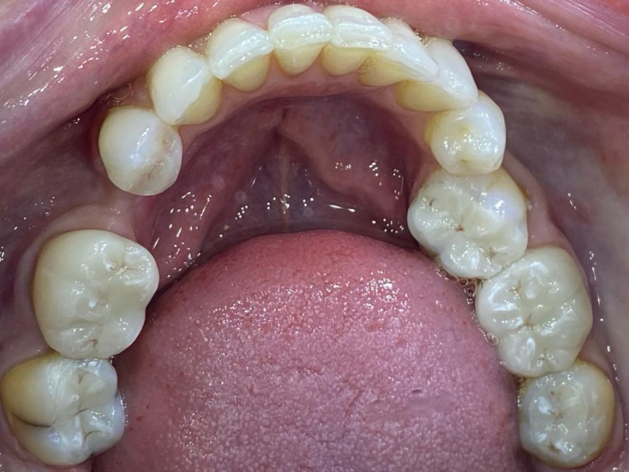
AFTER

All clinical work carried out by Elliott McCarthy Dental Care, Hartlepool. Photgraphs reproduced with kind permission from Elliott McCarthy Dental Care. This patient has had extensive restoration of upper arch using a combination of crown lengthening in the gingival area combined with Kavo Everest crowns and bridgework.

 

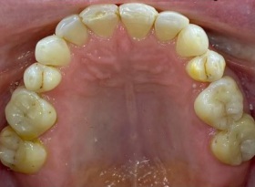
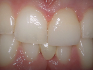
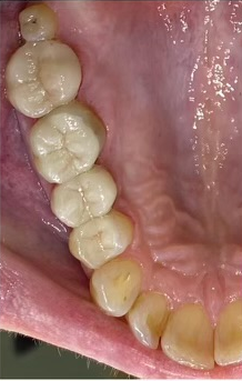
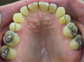
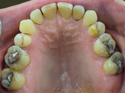
BEFORE

AFTER

Photographs courtesy of Myton Park Dental Centre, Ingleby Barwick. Emax press crowns replaced unsightly amalgam fillings. These crowns were pressed to full contour and stained /glazed to optimize the shade.

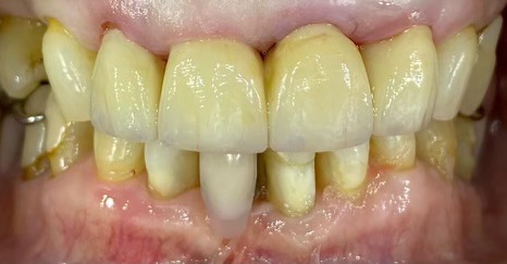
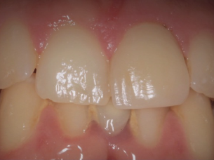
BEFORE

AFTER

All clinical work carried out by Dr. Pauline McCarthy. Photgraphs reproduced with kind permission from Dr. Pauline McCarthy.

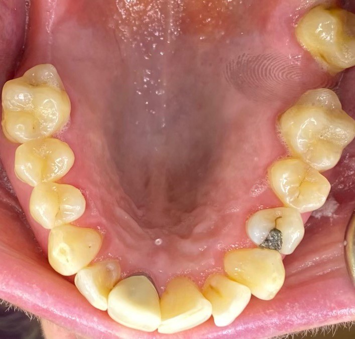
BEFORE

AFTER

Photographs courtesy of Thornaby Dental Centre. Visit their website www.thornabydentalcentre.co.uk

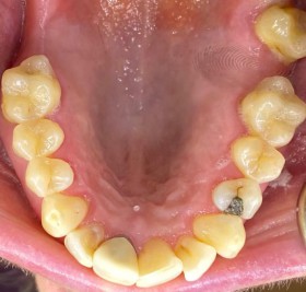
BEFORE

AFTER

All clinical work carried out by Dr. Pauline McCarthy. Photgraphs reproduced with kind permission from Dr. Pauline McCarthy.

BEFORE

AFTER

All clinical work carried out by Dr. Pauline McCarthy. Photgraphs reproduced with kind permission from Dr. Pauline McCarthy.

BEFORE

AFTER

Photographs courtesy of Thornaby Dental Centre. Visit their website www.thornabydentalcentre.co.uk

BEFORE

AFTER

Photographs courtesy of Thornaby Dental Centre. Visit their website www.thornabydentalcentre.co.uk

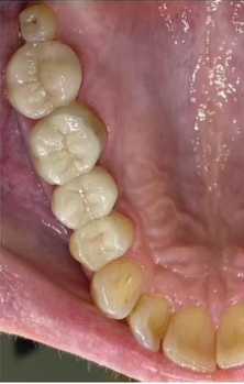
BEFORE

AFTER

All clinical work carried out by Dr. Pauline McCarthy. Photgraphs reproduced with kind permission from Dr. Pauline McCarthy.

Print | Sitemap
© R-Tech Dental Ceramics Ltd